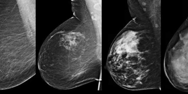
En el estudio, llevado a cabo en Barcelona, han colaborado hasta 45 centros de investigación de distintos países europeos. Se trata del primer estudio dirigido a pacientes con cáncer de mama HER2-positivo.
Un nuevo tratamiento contra el cáncer de mama, que aún esta en fase de ensayos, puede traer esperanzas para seguir con la lucha y acabar con la enfermedad.
La investigación de cáncer de mama necesita fomentarse. Por ello, desde el Museo Thyssen-Bornemisza y la Federación Española de Cáncer de Mama han propuesto una idea muy original.