Enfermedad de Marchiafava-Bignami: síntomas y tratamiento

EmailFacebookTwitterLinkedinPinterest
¿Qué es la enfermedad de Marchiafava-Bignami?

Lectura fácil

¿Te suena la enfermedad de Marchiafava-Bignami? Este mes de febrero seguimos divulgando enfermedades raras o poco frecuentes.

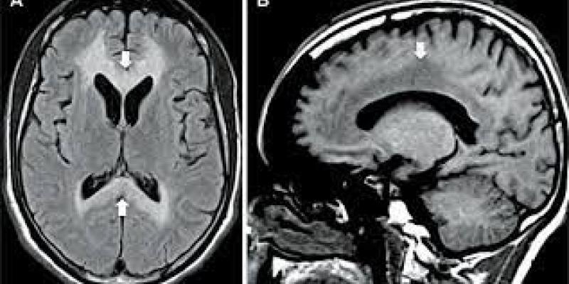
La enfermedad de Marchiafava-Bignami (EMB) es una condición rara asociada principalmente con el alcoholismo, aunque no exclusivamente. Se caracteriza por una desmielinización y necrosis del cuerpo calloso con la subsiguiente atrofia, es decir, provoca una erosión del cuerpo calloso.

En líneas generales, tiene mayor incidencia en hombres alcohólicos, consumidores crónicos de alcohol, de mediana edad, de entre 40 y 60 años. No obstante, también se ha producido en varones no alcohólicos y en mujeresAlgunos estudios apuntan a que la enfermedad puede ocurrir ocasionalmente en pacientes con desnutrición crónica, aún que no beban.

Este mismo estudio, dice que el déficit de vitaminas del complejo B se considera la principal hipótesis del origen o causa de esta enfermedad.

En 2001 un estudio determinó que había unos 250 casos conocidos, de Marchiafava-Bignami de todas las razas y de casi todas las nacionalidades

Es importante conocer la enfermedad de Marchiafava-Bignami para un correcto abordaje por parte de enfermería, y así poder ofrecer unos cuidados de calidad.

Como hemos comentado, las causas de esta enfermedad vienen normalmente derivadas del consumo de alcohol de manera crónica. No obstante, también puede ser de carácter idiopático o estar relacionada con un déficit nutricional, según los distintos estudios.

Los síntomas

Según se define en un estudio de un caso práctico en 2003 en la Revista Científica de la Sociedad Española de Enfermería Neurológica: SEDENE, hay varios síntomas que se pueden observar en grados variables. Están relacionadas con un punto de vista psicológico, pero también neurológico. Enumera:

  • confusión mental
  • déficit de memoria
  • deterioro de ciertas funciones cognoscitivas y emocionales
  • síntomas de desconexión interhemisférica
  • disartria
  • deterioro de la marcha.

En relación, podemos encontrar problemas como la depresión, la ataxia o la apraxia relacionadas, así como alucinaciones, confusión general.

Al ser una enfermedad muy concreta y particular, no hay un tratamiento específico para la enfermedad de Marchiafava-Bignami

No obstante, la atención sintomática incluye habitualmente la corrección de la desnutrición y evidentemente también un suplemento vitamínico (tiamina, folato, y otras vitaminas del grupo B, básicamente).

Evidentemente, hablamos de un tratamiento que tiene que ir de la mano de parar el consumo de alcohol en cualquier cantidad. Al tratarse generalmente de personas también con una enfermedad a raíz del alcohol, puede ser que requieran medicación adicional para seguir el tratamiento sin recaer.

Cabe destacar que cada caso es distinto, especialmente porque la gravedad difiere en cada caso, y también influye el momento en el que se detecta el problema. En general, se trata de una enfermedad de la que el individuo se puede llegar a recuperar, especialmente si se cumple el tratamiento, e incluso convivir con ella. 

Añadir nuevo comentario