Lectura fácil
En el complejo tablero de la salud pública, la aterosclerosis ha jugado siempre con ventaja. Esta acumulación silenciosa de grasas y colesterol en las arterias suele pasar desapercibida hasta que el cuerpo lanza un aviso crítico en forma de infarto o accidente cerebrovascular.
Hasta ahora, detectarla de forma precoz requería pruebas costosas, a veces invasivas y, casi siempre, reservadas para la medicina especializada. Sin embargo, el futuro de la prevención parece haber encontrado su sitio en un lugar inesperado: el fondo de nuestros ojos.
Entrevistamos a los creadores de Aitheroscope, un proyecto nacido en el seno de la startup madrileña Horus ML desplegado en 18 centros clínicos en España y en conversaciones con varias comunidades autónomas cuyo impulso se ve reforzado por reconocimientos como haber sido finalistas en los Premios a la Innovación Social de Fundación Mapfre.
Hoy en GNDiario, nos adentramos en la tecnología que promete democratizar el diagnóstico temprano. No se trata solo de algoritmos y datos; se trata de llevar la medicina de vanguardia a la consulta del barrio, haciendo que el derecho a una detección precoz sea, por fin, accesible para todos.
El origen: una ventana abierta al sistema vascular
Hablamos con Jesús Prada Alonso, CEO de Horus ML, sobre Aitheroscope: la inteligencia artificial capaz de leer en tus ojos el riesgo de infarto antes de que aparezca.
- Jesús, la aterosclerosis suele detectarse cuando ya es tarde. ¿Qué os llevó a pensar que la respuesta estaba en el fondo del ojo?
Jesús Prada: Aitheroscope nace del encuentro de dos preocupaciones clínicas muy reales. Por un lado, Carolina Espejo, cofundadora y cardióloga intervencionista, veía a diario que aproximadamente la mitad de los infartos ocurren en pacientes clasificados previamente como de "riesgo bajo". Existe un colectivo enorme de personas, especialmente mujeres y adultos jóvenes, a las que el sistema simplemente no está mirando.
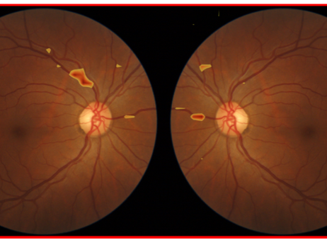
Por otro lado, el doctor Juan Torres Macho planteó que la retina es la única parte del cuerpo donde podemos observar directamente los vasos sanguíneos sin abrir nada, sin radiación y sin contraste. Es, literalmente, una ventana al sistema vascular.
Esas dos semillas, la necesidad detectada por Carolina y la vía propuesta por Juan, encajaron de forma inmediata. La hipótesis clínica era sólida; lo que aportamos nosotros desde Horus ML es la capacidad de la inteligencia artificial para extraer de esa imagen información que el ojo humano, especialmente el de personal no especializado en imagen oftalmológica como el facultativo de atención primaria, difícilmente puede percibir.
A nivel personal, además, la enfermedad cardiovascular ha afectado de cerca a varios miembros de mi familia, así que para mí este proyecto tiene también una dimensión que va más allá de lo profesional.

Jesús Prada - Doctor en Machine Learning.
Experiencia liderando proyectos de Inteligencia Artificial en Sanidad.
Carolina Espejo - Médico especialista en Cardiología.
Dominio en la aplicación de métodos estadísticos a estudios clínicos.
Miguel Bravo- Especialista en Deep Learning.
Experto en clasificación de imágenes y procesamiento de lenguaje natural.
Guillem Batiste - Médico y matemático especializado en Data Science. Experiencia liderando proyectos de IA.
- El nombre suena a futuro. ¿Qué representa Aitheroscope para vosotros?
Jesús Prada: El nombre combina las palabras AI (inteligencia artificial), atherosclerosis (aterosclerosis) y scope (instrumento para observar). Queremos que la IA sea un nuevo instrumento de exploración de una enfermedad hasta ahora invisible. Además, lo hacemos con valores europeos: rigor científico, transparencia regulatoria y vocación de servicio público. En salud, los atajos son inaceptables; por eso hemos validado la tecnología con datos clínicos sólidos y bajo supervisión estricta.
Compartimos plenamente esa filosofía. Cuando hablamos de salud, las prisas y los atajos son inaceptables: una herramienta que toma decisiones que afectan a la vida de las personas tiene que estar validada con rigor, con datos clínicos sólidos y bajo supervisión regulatoria estricta. Por eso hemos construido AItheroscope desde el primer día con esa exigencia en mente. Trabajamos con datos anonimizados bajo los estándares más estrictos de protección, hemos validado la tecnología frente a ecografía vascular carotídea (el estándar clínico de referencia) en más de mil pacientes en colaboración con la Fundación de Investigación Biomédica del Hospital Universitario Infanta Leonor y del Sureste (FIIB), estamos participando en la validación externa con el CNIC y cumplimos rigurosamente con todas las exigencias regulatorias aplicables. Nada de eso es opcional para nosotros, es parte intrínseca de cómo entendemos la innovación en salud.
Nos gusta pensar que estamos construyendo tecnología sanitaria con valores europeos: rigor científico, validación clínica seria, transparencia regulatoria y vocación de servicio público. Una herramienta no invasiva, basada en una prueba económica, disponible en cualquier centro de salud y respaldada por todas las garantías regulatorias encaja perfectamente con el modelo sanitario europeo.
La "magia" de la IA
- Si tuvierais que explicárselo a una persona mayor en su centro de salud, ¿cómo funciona esta tecnología?
Jesús Prada: Le diríamos que vamos a hacerle una foto del fondo del ojo, una prueba que dura segundos y no duele nada. Esa foto la analiza una herramienta que ha aprendido, mirando miles de imágenes, a reconocer señales sutiles en sus arterias que indican si se están acumulando placas en el resto del cuerpo. La IA ve patrones sutiles, como variaciones mínimas en el calibre de los vasos, que pueden escapar incluso a profesionales muy entrenados.
- Una de las grandes ventajas es que no es una prueba agresiva. ¿Cómo cambia esto la experiencia del paciente?
Jesús Prada: La diferencia es total. Pruebas como el cateterismo son invasivas y conllevan riesgos. Aitheroscope utiliza una retinografía no midriática, lo que significa que ni siquiera hace falta dilatar la pupila con gotas. El paciente se sienta, se hace la foto en segundos, sin pinchazos ni radiación. Es tan sencillo como hacerse una foto. Esto permite que la prueba sea un cribado preventivo rutinario, igual que una analítica de colesterol.
- Sin dolor: No requiere pinchazos ni intervenciones.
- Sin efectos secundarios: No utiliza contraste ni radiación.
- Rapidez: Captura de imagen en cuestión de segundos.
- ¿Cómo garantizáis que el algoritmo sea preciso en un tema tan delicado?
Jesús Prada: En salud, los datos lo son todo. Hemos validado el modelo frente a la ecografía vascular carotídea en más de mil pacientes en el Hospital Universitario Infanta Leonor. Los resultados muestran un 5 % de falsos positivos y un 3 % de falsos negativos, cifras superiores a las escalas de riesgo clásicas. Además, participamos en el estudio REACT del CNIC, liderado por los doctores Valentín Fuster y Borja Ibáñez, para una validación externa muy exigente.
Impacto social: democratizar la prevención
- Ponéis el foco en el médico de familia. ¿Cómo ayuda esto a las listas de espera de cardiología?
Jesús Prada: El sistema actual es reactivo: el paciente llega al cardiólogo cuando ya hay síntomas. Aitheroscope invierte esa lógica desde atención primaria. Identifica precozmente a quienes realmente tienen la enfermedad, permitiendo que lleguen antes al especialista y mejor caracterizados. Además, evita derivaciones innecesarias de pacientes que hoy se envían "por si acaso". A largo plazo, evitar un infarto evita también el colapso de urgencias y hospitalizaciones.
- ¿Puede esta tecnología llegar a zonas rurales o con pocos recursos?
Jesús Prada: Esa es nuestra idea de fondo: eliminar la asimetría geográfica. Aitheroscope permite hacer un cribado de calidad sin necesidad de tener cerca una unidad especializada de riesgo cardiovascular. Funciona con retinógrafos convencionales que ya existen en muchos centros de salud. Así, un centro rural puede tener la misma capacidad de detección que un hospital de gran ciudad.
- ¿Qué ahorro supone para el sistema sanitario detectar la enfermedad antes de los síntomas?
Jesús Prada: El retorno económico es inmenso. En España, el coste medio por paciente tras un evento cardiovascular es de unos 11.000 € el primer año. La enfermedad cardiovascular le cuesta al sistema nacional más de 9.000 millones de euros al año. Frente a eso, el coste de una retinografía es prácticamente despreciable. La ecuación coste-beneficio está claramente del lado de la prevención.
Inclusión y futuro de la medicina madrileña
- Hablemos de accesibilidad. ¿Cómo ayuda este proyecto a las personas con menos recursos?
Jesús Prada: La medicina preventiva suele tener un sesgo socioeconómico: quienes tienen más recursos acceden a mejores chequeos. Aitheroscope ataca ese sesgo:
- Es una prueba muy barata, ideal para el sistema público.
- No requiere desplazamientos a grandes hospitales, algo clave para personas mayores o con movilidad reducida.
- Evita el laberinto de múltiples citas; en una sola visita al centro de salud habitual se obtiene la información.

- ¿Cuándo veremos Aitheroscope de forma habitual en todas las consultas?
Jesús Prada: Ya estamos desplegados en 18 centros clínicos en España. Lo realista es pensar en una incorporación progresiva en los próximos dos a tres años. En Madrid, esperamos ser una de las primeras regiones en tenerla de forma habitual por nuestra estrecha colaboración con la FIIB y el CNIC. A nivel internacional, ya estamos dando pasos en México y Chile.
Nos gustaría avanzar más rápido, pero la salud es un terreno donde las prisas son malas consejeras. Preferimos llegar con la garantía de haber hecho las cosas con rigor.
Nota de GNDiario: Aitheroscope no solo es un avance técnico; es la promesa de que el derecho a una detección precoz sea, por fin, accesible para todos, independientemente de su código postal o nivel de ingresos.
Añadir nuevo comentario