Lectura fácil
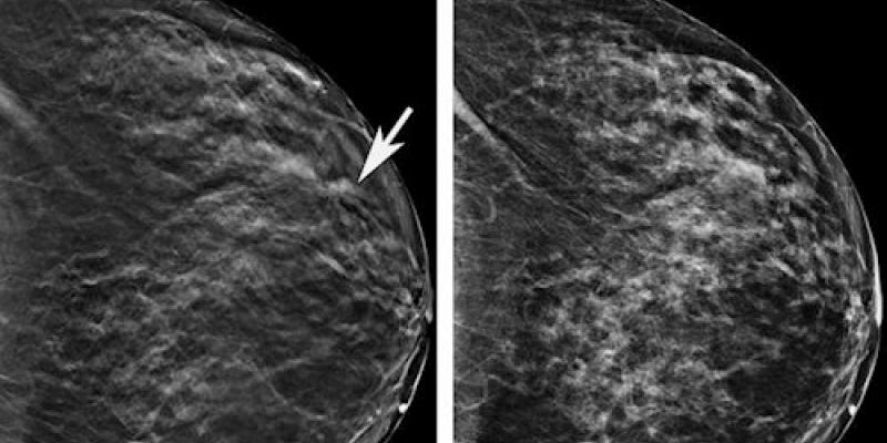
La mamografía 3D puede detectar hasta un 65 por ciento más de casos de cáncer de mama invasivo de forma precoz. Esta prueba evita la realización de otras pruebas adicionales. Además, cuenta con una precisión superior a la mamografía 2D en mujeres con mamas densas.
Nuevo encuentro de radiólogos
Así lo destacaron este martes en Madrid los radiólogos en el encuentro ‘Screening con tomosíntesis, ¿a qué esperamos? ¿qué nos falta?’. Allí se analizó el uso de la mamografía 3D en el cribado del cáncer de mama.
Según la Sociedad Española de Oncología Médica (SEOM), el cáncer de mama es el tercero más frecuente en España. En 2019 se registraron más de 30.000 casos.
Se estima que en España una de cada ocho mujeres padecerá este tipo de cáncer
Aun así, actualmente la supervivencia a cinco años es superior al 90 por ciento. En parte gracias a la prevención, los programas de cribado y a la investigación en este campo.
El 68,75 por ciento de los programas de cribado españoles (sin datos de Madrid y Ceuta) disponen de mamógrafos con potencial para hacer mamografías en 3D.
En concreto, en Cantabria el total del cribado dispone de mamógrafos 3D. Comunidades como Canarias y Castilla y León siguen esta disponibilidad muy de cerca (con el 90 por ciento y 72,2 por ciento, respectivamente). No todos estos mamógrafos 3D están empleándose actualmente.
Técnicas más avanzadas
Servimedia recoge palabras del radiólogo responsable del Programa de Screening de Oslo en Noruega, Per Skaane. En el encuentro de radiólogos, señaló que “la tomosíntesis es una técnica más avanzada, ya que tiene una mayor especificidad y sensibilidad. Por este motivo, debería incluirse en los programas de cribado del cáncer de mama”.
En el simposio, los expertos abordaron algunos retos para que la mamografía 3D pueda implantarse en los sistemas de cribado actuales. Es clave contar con la experiencia de los radiólogos en el desarrollo e implantación de los programas de cribado.

Globalnews10 apuesta por la inclusión y la integración social de las personas con discapacidad. Nuestro sitio web comienza una iniciativa con el fin de garantizar que personas con capacidades especiales, mayores y otros colectivos con riesgo de exclusión, puedan acceder a toda la información que publicamos día a día.
Añadir nuevo comentario